Reklama
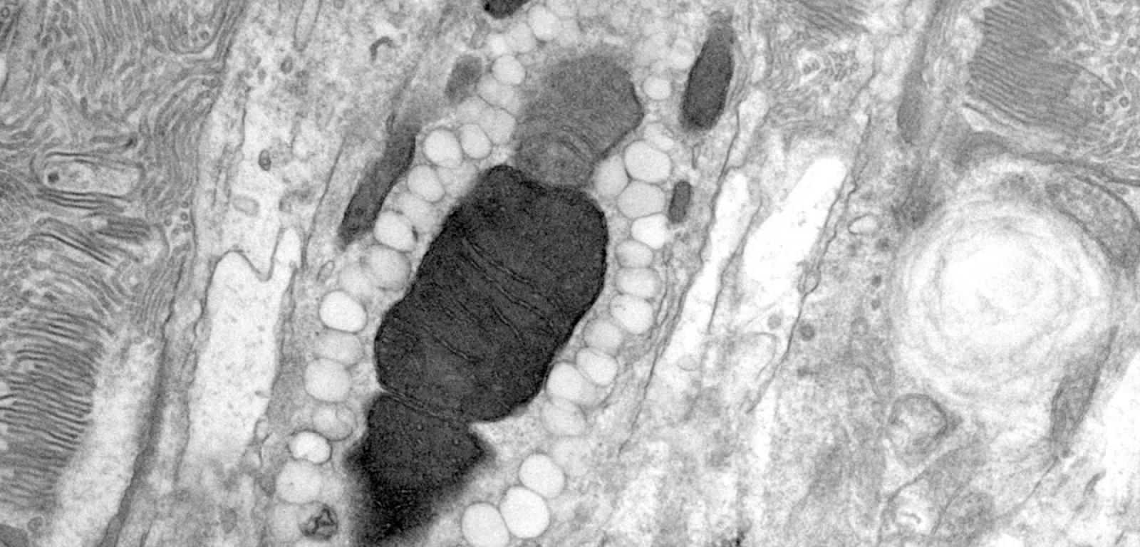
Kropelki oleju otaczające wielkie mitochondrium w oku empidonki oliwkowej
Z “A Novel Cellular Structure in the Photoreceptors of Insectivorous Birds,”, by Luke P. Tyrrell i in., Preprint przesłany do Biorxiv 15 lutego 2019 Kropelki oleju otaczające wielkie mitochondrium w oku empidonki oliwkowej Z “A Novel Cellular Structure in the Photoreceptors of Insectivorous Birds,”, by Luke P. Tyrrell i in., Preprint przesłany do Biorxiv 15 lutego 2019
Środowisko

Oko empidonki

Struktura jego siatkówki może wyjaśniać niezwykłe zdolności obserwacyjne tego ptaka

Empidonka oliwkowa zamiast chwytać zdobycz w locie, często poluje na owady, siedząc na gałęzi. Badacze odkryli niedawno zaskakującą strukturę w ptasich oczach, która być może wyjaśnia zdolność śledzenia biegnącego owada przez ptaka w całkowitym bezruchu.

Luke P. Tyrrell, biolog z State University of New York w Plattsburgh, wraz ze współpracownikami odkrył, że fotoreceptory, czyli światłoczułe komórki w centralnej części siatkówki, zawierają nadzwyczaj duże mitochondria.

Świat Nauki 11.2019 (300339) z dnia 01.11.2019; Skaner; s. 17