Reklama
Getty Images
Technologia

Kompaktowe skanery ratują istnienia

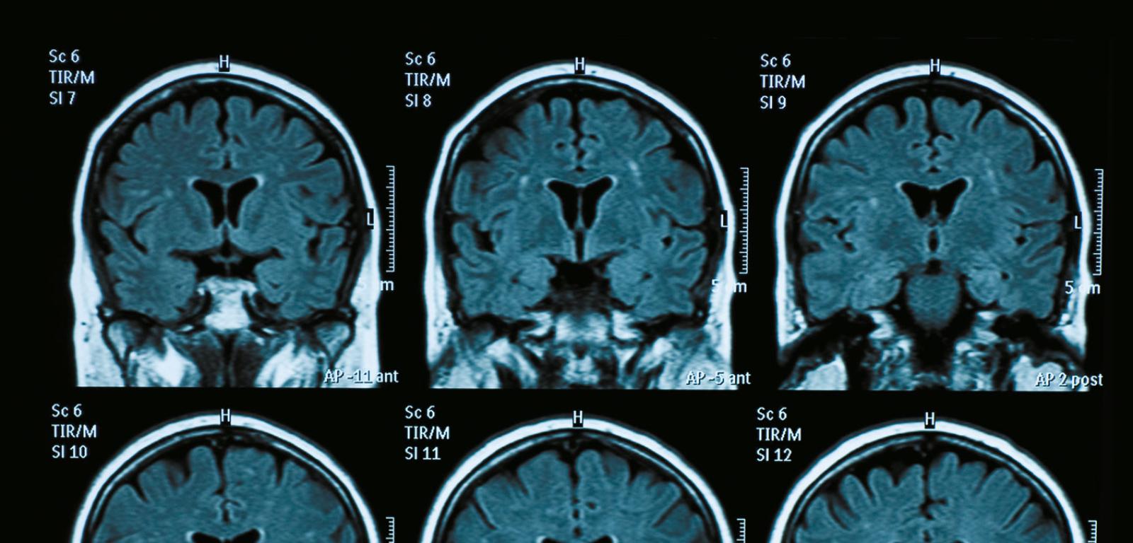
Dwie trzecie ludności świata nie ma dostępu do obrazowania metodą jądrowego rezonan-su magnetycznego. Nadzieją są tanie, małe skanery MRI z ultrasłabym polem.

Obrazowanie metodą jądrowego rezonansu magnetycznego (MRI – Magnetic Resonance Imaging) jest jednym z najważniejszych narzędzi diagnostycznym współczesnej medycyny. Niestety, cena urządzenia waha się od 1 do 3 mln dolarów, a jego instalacja wymaga pomieszczenia dostosowanego do wymogów silnego pola magnetycznego i ekranującego od zewnętrznych źródeł zakłóceń oraz skomplikowanych systemów chłodzących opartych na ciekłym helu. Mniej więcej dwie trzecie ludności świata nie ma dostępu do skanerów, których w 90% znajduje się w najbogatszych krajach.

Świat Nauki 4.2022 (300368) z dnia 01.04.2022; Skaner; s. 16
Oryginalny tytuł tekstu: "Rezonans magnetyczny pod ręką"