Reklama
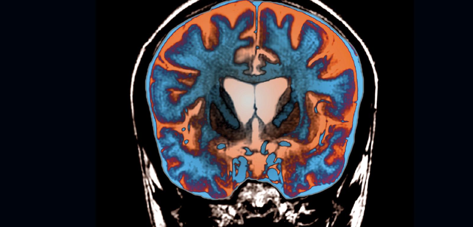
Badanie metodą jądrowego rezonansu magnetycznego, uwidaczniające zanik mózgu typowy dla choroby Huntingtona, potencjalnie możliwy do spowolnienia dzięki nowej terapii. Badanie metodą jądrowego rezonansu magnetycznego, uwidaczniające zanik mózgu typowy dla choroby Huntingtona, potencjalnie możliwy do spowolnienia dzięki nowej terapii. Zephyr/Science Source
Zdrowie

Nadzieje dla chorych na chorobę Huntingtona

Po latach rozpaczy pojawiła się nowa metoda leczenia, która spowalnia przebieg tej druzgocącej choroby.

Każdego tygodnia do kliniki neurologa Victora Sunga na University of Alabama w Birmingham trafiają pacjenci z chorobą Huntingtona – rzadką, śmiertelną chorobą neurodegeneracyjną. Jednak pewna wrześniowa środa była wyjątkowa. „Płakałem z każdym kolejnym pacjentem” – mówi Sung. Wreszcie ukazały się wyniki kluczowych badań klinicznych fazy 1/2. Eksperymentalna terapia genowa po raz pierwszy wydaje się spowalniać postęp choroby.

Lek o nazwie AMT-130 podaje się głęboko do mózgu podczas zabiegu chirurgicznego, trwającego ponad osiem godzin.

Świat Nauki 2.2026 (300414) z dnia 01.02.2026; Skaner; s. 12