Reklama
Alfred Pasieka/Science Source
Człowiek

Warstwy poznania

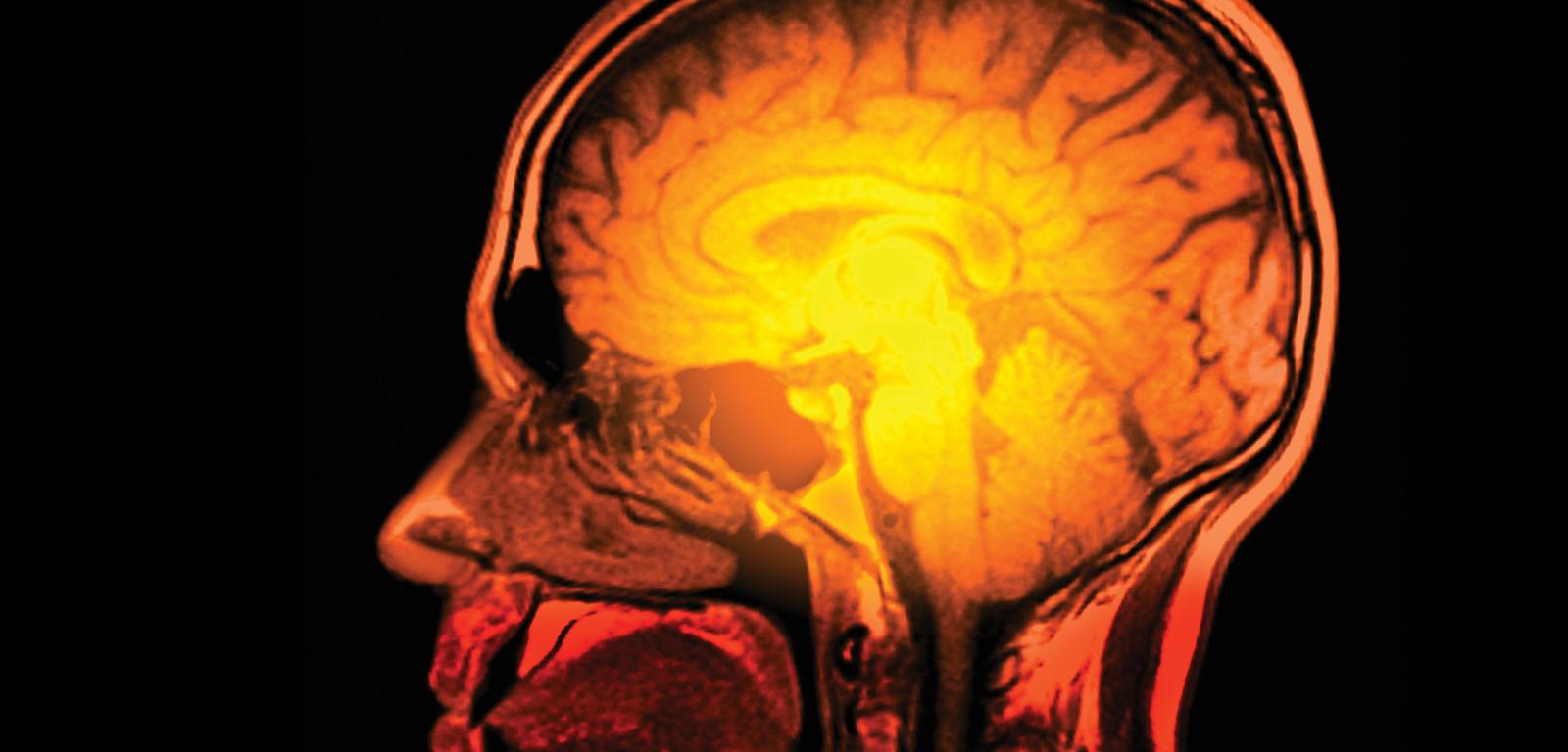
Sondy pozwalają określić źródła różnych fal mózgowych

Kora mózgowa, która odpowiada za wyższe funkcje poznawcze u ssaków, dzieli się na sześć oddzielnych fizycznych warstw, złożonych z komórek różniących się rodzajem, wielkością i połączeniami. Nowe odkrycia wskazują, że te warstwy specjalizują się dodatkowo w generowaniu różnych fal mózgowych. Wygląda na to, że warstwy zewnętrzne przetwarzają bodźce czuciowe, podczas gdy te głębsze kontrolują to, co mózg zrobi z pozyskanymi w ten sposób danymi.

Wyniki badania opisanego w „Nature Neuroscience” świadczą, że szybkie fale gamma powstają często w warstwach zewnętrznych, podczas gdy wolniejsze fale alfa i beta w głębszych. Sprawdza się to w 14 obszarach kory mózgowej i u czterech gatunków, w tym u ludzi. „Kiedy widzimy schemat, który jest wszechobecny i wyraźny, wiemy, że odpowiada za coś bardzo ważnego” – mówi Earl Miller, neuronaukowiec z Massachusetts Institute of Technology, jeden z opiekunów naukowych tego projektu. Wyniki tych prac mogą wpłynąć na zrozumienie zaburzeń neuropsychicznych, a także pomóc w ich leczeniu.

Na podstawie wielokrotnych eksperymentów naukowcy stwierdzili występowanie tego samego schematu we wszystkich 14 obszarach kory mózgowej u pięciu makaków. Zaobserwowali go również w nagraniach fal mózgowych ludzi i innych naczelnych. Stwierdzili ponadto, że fale mózgowe u myszy także wykazywały ten sam gradient (jednak przy szerszych zakresach częstotliwości).

Rejestracja aktywności poszczególnych warstw kory mózgowej, które mają poniżej jednego milimetra grubości, stanowi wyzwanie – dlatego autorzy badania wykorzystywali sondy złożone z wielu elektrod, za których pomocą dokonywali jednoczesnego odczytu ze wszystkich warstw. Algorytm umożliwiał wskazanie, z których warstw pochodzą poszczególne odczyty. Ich źródło potwierdzili poprzez badanie anatomiczne.

„To bardzo dobrze, że autorzy przeprowadzili rejestrację w różnych warstwach kory mózgowej – mówi Helen Barbas, neurobiolożka z Boston University specjalizująca się w ssakach naczelnych. – Fakt, że uzyskali tak wiele informacji na ten temat, da impuls innym badaczom do pójścia w ich ślady”. Barbas jest również ciekawa, co dzieje się w obszarach kory mózgowej, w których nie występuje tak wyraźny podział na warstwy, jak w miejscach badanych.

Wcześniejsze badania wskazują, że fale mózgowe o wysokiej częstotliwości kodują informacje z narządów zmysłów, natomiast niższe częstotliwości odpowiadają sygnałom kontrolującym. „Wierzymy, że istnieje równowaga pomiędzy przetwarzaniem przez mózg docierających do niego informacji sensorycznych a kontrolą sprawowaną nad tymi informacjami” – mówi Miller. Jeśli ten podział jest słuszny, brak równowagi między tymi falami mózgowymi może odgrywać pewną rolę w zaburzeniach neuropsychicznych. Na przykład jeśli dominują wyższe częstotliwości (co oznacza, że mózg nadmiernie przetwarza informacje sensoryczne), może to prowadzić do problemów z uwagą albo do przeciążenia sensorycznego. Zbyt niska aktywność o wysokiej częstotliwości może mieć związek z psychozami, ponieważ oznaczałaby mniejszy napływ informacji ze świata zewnętrznego, przez co mózg w większym stopniu polegałby na sygnałach generowanych wewnątrz.

To nowe badanie stanowi wskazówkę, w których warstwach może dochodzić do braku równowagi. Na przykład wiadomo, że w mózgach osób dotkniętych schizofrenią występuje mniejsza aktywność fal gamma o wysokiej częstotliwości. Andre Bastos z Vanderbilt University, będący jednym z kierujących tym badaniem, planuje wraz ze współpracownikami sprawdzić, czy swoiste komórki znajdujące się w płytszych warstwach, które prawdopodobnie mają udział w generowaniu tych fal, funkcjonują prawidłowo u osób ze schizofrenią.

Świat Nauki 09.2024 (300397) z dnia 01.09.2024; Skaner; s. 16
Reklama